
Invisalign is a brand of clear aligners used to straighten teeth as an alternative to traditional metal braces. It involves a series of custom-made, nearly invisible, and removable plastic trays that gradually shift your teeth into the desired position. The aligners are designed using 3D computer imaging technology, ensuring a precise fit and effective treatment plan. Invisalign offers a more discreet and comfortable way to straighten teeth, as it doesn’t involve wires or brackets and can be removed for eating, brushing, and flossing.
Invisalign offers a discreet, comfortable way to straighten teeth using clear, removable aligners. Custom-made for your teeth, these aligners are virtually invisible and allow you to eat, drink, and brush without restrictions. With fewer office visits and low food restrictions, Invisalign provides a convenient and flexible option for achieving a beautiful, healthy smile.
Invisalign works by using a series of custom-made, clear aligners that gradually shift your teeth into place. Each aligner is worn for about two weeks before moving to the next in the series. The aligners are designed using 3D technology to fit your teeth perfectly and are adjusted throughout the treatment to achieve your desired smile. Since they are removable, you can take them out for eating, drinking, and cleaning your teeth.
For more details about Invisalign, feel free to visit official Invisalign website.
Teens can be hard on their stuff, from cracked phone screens to lost accessories. But with Invisalign Teen, we can help gently guide their teeth into the perfect position—no brackets or wires required. Plus, Invisalign Teen features built-in wear indicators, so you, your teen, and our team can easily track their progress and ensure they’re wearing the aligners as needed. To get the best results, your teen should wear their aligners for at least 20 to 22 hours a day.

Clear aligners are virtually invisible, allowing teens to straighten their teeth without the look of traditional braces.
Invisalign aligners are made of smooth plastic, reducing the discomfort and irritation often caused by metal braces.
Teens can remove their aligners to eat, drink, brush, and floss, making it easier to maintain oral hygiene and enjoy their favorite foods.
Since aligners are clear and removable, teens can continue to participate in sports, play musical instruments, or engage in other activities without worry.
Invisalign Teen features special wear indicators to help track if the aligners are being worn as directed, ensuring progress toward the best possible results.
With Invisalign, teens typically require fewer visits to the orthodontist for adjustments compared to traditional braces.
Invisalign Teen is effective for a wide range of orthodontic issues, helping teens achieve a straight, healthy smile.
Traditional braces, also known as metal braces, are orthodontic appliances used to straighten and align teeth. They consist of metal brackets that are bonded to the teeth and connected by wires. These wires apply gentle pressure to gradually move the teeth into the desired position over time. Traditional braces are effective for correcting a wide range of dental issues, including crooked teeth, crowded teeth, gaps between teeth, and bite problems.

Ceramic braces are similar to traditional metal braces, but with brackets made of clear or tooth-colored ceramic material instead of metal. They function in the same way as metal braces, using wires and brackets to gradually shift the teeth into proper alignment. Ceramic braces are less noticeable than metal braces, making them a popular choice for individuals who want a more discreet orthodontic treatment option.


Say goodbye to the gooey, uncomfortable molds of traditional impressions. The iTero scanner uses advanced technology to create a digital, precise 3D model of your teeth, ensuring a more comfortable and efficient experience. With quick results and no mess, the iTero scanner helps us plan your treatment with accuracy and ease, so you can enjoy your perfect smile faster!
The iTero scanner digitally captures the structure of the teeth and gums using the latest optical technology. The scanner is a compact, hand-held wand. Once your orthodontist begins the scanning process, it can be stopped and started as many times as necessary.
Your mouth is scanned with a radiation-free laser, and in as little as two to three minutes, the laser renders a digitally perfect, 3D impression of your teeth and soft tissue structures. Through digital software, you’ll then be able to follow the progress of the scans, including a 3D model of your teeth on our computer screen. The iTero scanner can be used for any orthodontic treatment, including Invisalign®.
The American Association of Orthodontists recommends that children visit an orthodontist by age 7, when their teeth and jaw are still developing. Early treatment can help address bite issues like underbites, correct jaw growth, and create space for permanent teeth to come in properly.
By starting treatment early, we can often avoid the need for extractions or surgery later on. As children lose their baby teeth by age 13 and their jaw bones harden in the teen years, early intervention sets the stage for simpler, faster treatments and a healthy, confident smile for the future.
*** Early treatment (Phase One) usually starts around ages eight or nine, with Phase Two typically beginning at age 11 or older.

If your child’s teeth look crowded or misaligned, it might be a sign that there’s not enough space for their teeth to come in properly. When teeth are out of place, it’s harder for them to be cleaned, which can lead to future dental problems. Early treatment can help create room for proper tooth alignment, so their smile stays healthy and strong.
If your child is having trouble biting into their favorite foods, or if they seem to avoid chewing certain things, it might mean their teeth aren’t coming together correctly. This could be due to an overbite, underbite, or crossbite. Addressing these issues early can make eating more comfortable and help avoid jaw pain or tooth wear down the road.
Thumb sucking is completely normal for babies, but if it continues past age 4, it can affect how their teeth and jaw develop. It can push teeth out of position and even change the shape of their mouth. Getting help early can prevent these habits from causing bigger problems later.
If your child’s jaw shifts or clicks when they open or close their mouth, it could be a sign of jaw misalignment. This discomfort could lead to bigger problems with their jaw joint if not addressed early. Early intervention can help realign the jaw and avoid further issues with jaw movement.
There’s a “right time” for baby teeth to fall out, and if your child’s teeth are falling out too early or too late, it can affect how their permanent teeth come in. Losing baby teeth too early can cause other teeth to shift out of place, while losing them too late can lead to crowding when the permanent teeth try to come in. Treatment at the right time can guide their permanent teeth into the right spots.
A crossbite happens when the top teeth sit inside the bottom teeth, which can cause uneven wear and even gum issues. An underbite is when the bottom teeth stick out past the top teeth, which can make chewing and speaking difficult. These problems can also cause pain and discomfort, but early treatment can fix the alignment and help your child bite and chew properly.
If your child is always breathing through their mouth, it could be a sign that their teeth or jaw aren’t aligned correctly. Mouth breathing can lead to dry mouth, bad breath, and even dental issues. Addressing the issue early can help encourage nasal breathing and prevent other oral health problems down the line.
If your child struggles with certain sounds or has a lisp, it could be because their teeth are misaligned, especially if they have an overbite or underbite. When the teeth don’t line up properly, it can make speaking a challenge. Early treatment can help correct these issues, leading to clearer speech and a more confident smile.
By noticing these signs early, you can help your child avoid more serious dental issues in the future and set them up for a healthier smile. It’s all about getting a jump start on their oral health!

Our Two-Phase Orthodontic Treatment is a comprehensive approach that focuses on both aligning the teeth and guiding facial development. The goal of this two-phase process is to create the healthiest, most functional, and aesthetically pleasing smile possible, with results that will last throughout your child’s life.
Delaying treatment can lead to the need for more complex procedures down the road. As your child’s bones and teeth continue to develop, waiting may make it harder to fully address their smile concerns. Starting early treatment can help ensure more effective and lasting results.
Phase One treatment, often referred to as early orthodontic intervention, focuses on guiding the growth of your child’s jaw and teeth during their formative years, typically around ages 7 or 8. The primary goal is to create a healthy, functional environment that can accommodate permanent teeth and ensure proper alignment of the upper and lower jaws.
Some children may exhibit early signs of jaw problems, such as an upper jaw that is too narrow or growing disproportionately. If this is identified in children over the age of six, early intervention can help correct these issues. Crowding of front teeth around age eight is another common sign that early treatment may be necessary to avoid the need for permanent tooth extractions or more complex procedures in the future.

Through the use of appliances like expanders or partial braces, Phase One helps shape the jaw and create sufficient space for incoming permanent teeth.
Orthodontic records—including models of teeth, X-rays, and photographs—are essential for developing a personalized treatment plan. These records help determine the type of appliances needed, treatment duration, and visit frequency.
After Phase One is complete, the focus shifts to allowing permanent teeth to erupt naturally during a resting period. Retainers or other devices may not be recommended if they interfere with this natural process. A successful Phase One creates enough space for permanent teeth to come in without issues like impaction or severe displacement.
Throughout the resting phase, your orthodontist will monitor your child’s progress with periodic check-ups, typically every six months. These visits ensure the jaw and teeth are developing as planned. Selective removal of baby teeth may occasionally be necessary to support proper eruption paths for permanent teeth.
By addressing developmental issues at a young age, Phase One treatment reduces the need for invasive procedures later in life, such as extractions or surgery. It also ensures that Phase Two treatment, which fine-tunes the alignment of permanent teeth, can proceed more efficiently, setting your child up for a confident and healthy smile that lasts a lifetime.
Phase Two treatment is all about ensuring every tooth finds its perfect place, working in harmony with your child’s lips, cheeks, tongue, and surrounding teeth. The goal is to establish a balanced bite and properly aligned teeth for optimal function and a confident smile that lasts a lifetime.

Phase Two begins once all permanent teeth have erupted. This phase typically involves the use of full upper and lower braces, designed to fine-tune the alignment of teeth and ensure proper spacing and positioning.
Phase Two treatment follows the foundation set during Phase One. The earlier phase focused on jaw alignment and creating space for permanent teeth, while this stage focuses on perfecting the final arrangement.
Treatment during this phase generally lasts up to 24 months, depending on your child’s unique needs. Once braces are removed, retainers are introduced to help maintain the results, ensuring their smile remains beautiful and functional for decades.
Properly aligned teeth not only enhance aesthetics but also improve chewing, speaking, and overall oral health. Phase Two treatment ensures the smile your child worked hard for during Phase One becomes a lifetime of confidence and functionality.
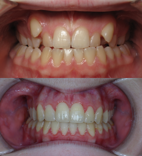
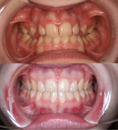
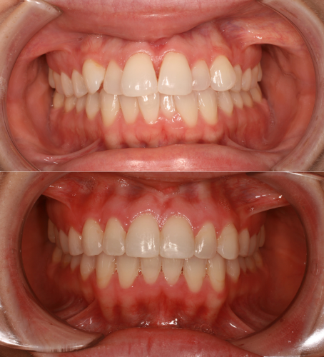
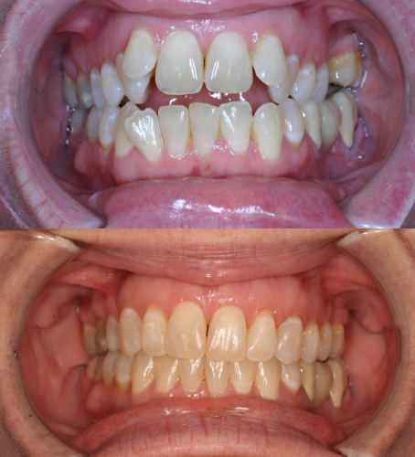
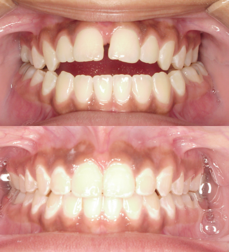
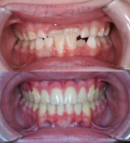
Every smile transformation begins with a unique story. Our before-and-after gallery showcases the incredible results our patients have achieved—each one a testament to the care, expertise, and dedication of our team.






Address:
5285 Dallas Pkwy, #500
Frisco, TX 75034
Phone: (817) 381-9504
Email: info@friscostarortho.com
Office Hours:
Monday, 8am – 5pm
Tuesday, 8am – 5pm
Wednesday, 7:30am – 4:00pm
Thursday, 7:30am – 4:00pm
Friday, By Appointment Only